nu:viewの臨床症例

臨床画像はnu:viewの使用例です。
gray ber

臨床症例

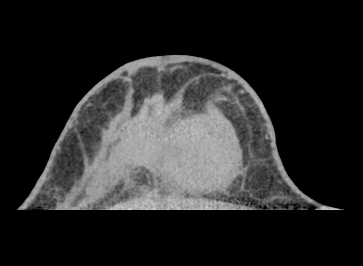
棘状病変(BI-RADS 3)

患者背景

  • 60~69歳の女性
  • 左乳房がん(浸潤性乳管がん、2001年、QUART)
  • 左:組織構造の変形、棘状病変、手術後瘢痕

評価:BI-RADS 3

画像詳細

  • 乳房側:左(L);再構成モード:高解像度
  • 管電圧:60kV;管電流:32mA
  • MIP:3.6mm
  • ウィンドウ:C -50 / W 600

画像提供:アンドレアス・ボス教授(医学博士、医学博士)(USZ – チューリヒ大学病院)

 
棘状病変(BI-RADS 3)画像

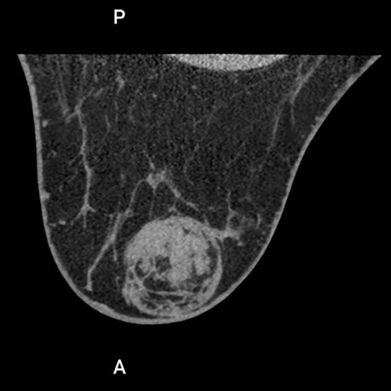
疑わしい局所性微小石灰化(BI-RADS 4)

患者背景

  • 50~59歳女性、閉経前、未産婦、子宮内膜症の疑い
  • 左側:疑わしい局所性微小石灰化

評価:BI-RADS 4 / 組織所見:硬化性腺症

画像詳細

  • 乳房側:左(L);再構成モード:高解像度
  • 管電圧:60 kV;管電流:40 mA
  • MIP:3.6 mm
  • ウィンドウ:C -50 / W 600

画像提供:アンドレアス・ボス教授(医学博士、医学博士)(USZ – チューリヒ大学病院)

 
疑わしい局所性微小石灰化(BI-RADS 4)画像

疑わしい局所性微小石灰化(BI-RADS 4)

患者背景

  • 50~59歳女性、閉経前、未産婦、子宮内膜症の疑い
  • 左側:疑わしい局所性微小石灰化

評価:BI-RADS 2

画像詳細

  • 乳房側:左(L);再構成モード:高解像度
  • 管電圧:60 kV;管電流:40 mA
  • ウィンドウ:C -50 / W 600

画像提供:アンドレアス・ボス教授(医学博士、医学博士)(USZ – チューリヒ大学病院)

 
疑わしい局所性微小石灰化(BI-RADS 4)画像

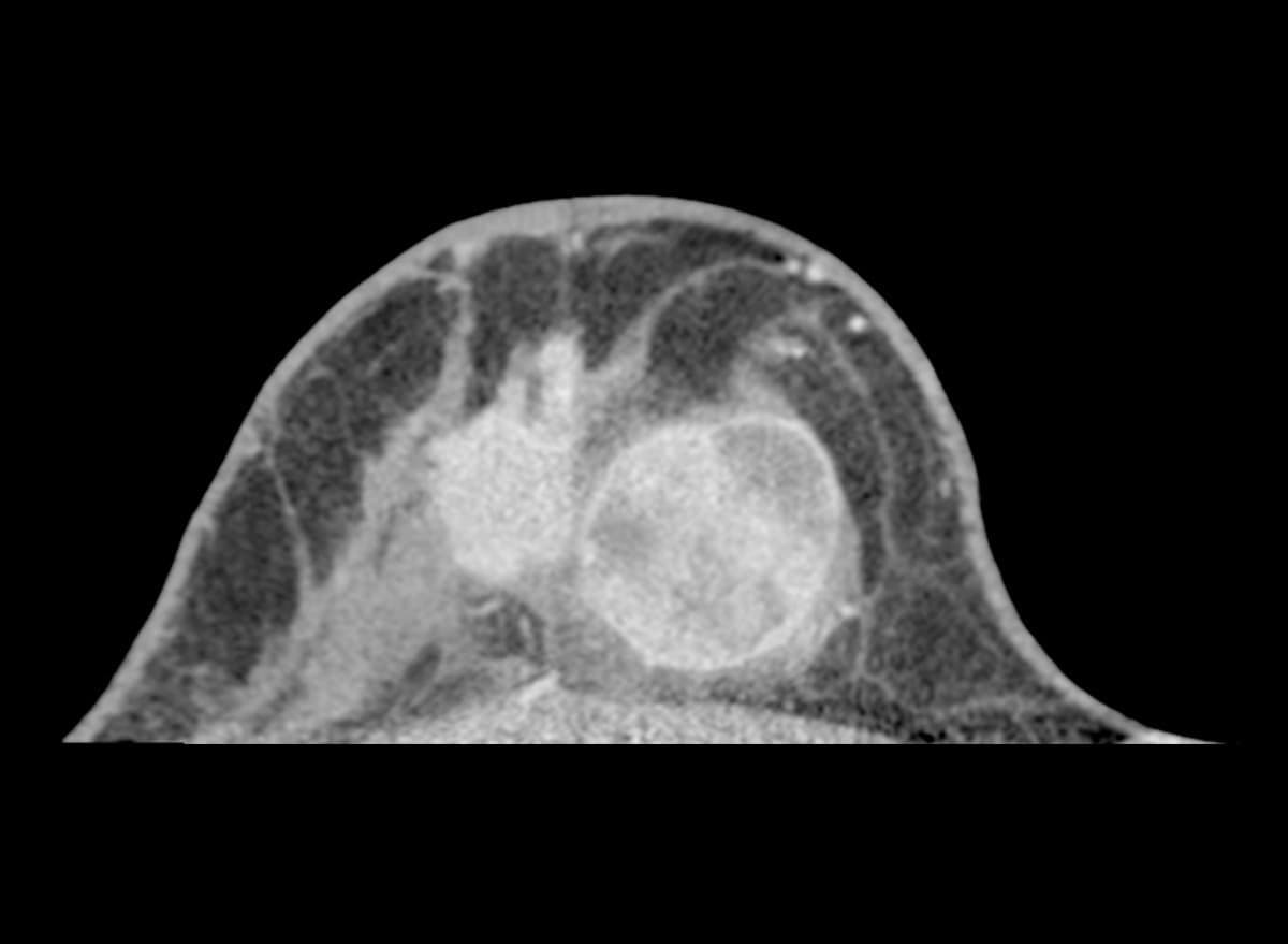
触知可能な腫瘤(BI-RADS 2)

患者背景

  • 40~49歳の女性
  • 右側に触知可能な腫瘤
  • 右乳房の11時方向にあるハムアートーマ

評価:BI-RADS 2

画像詳細

  • 乳房側:右(R);再構成モード:高解像度
  • 管電圧:60 kV;管電流:32 mA
  • MIP:3.6 mm
  • ウィンドウ:C -50 / W 600

画像提供:アンドレアス・ボス教授(医学博士、医学博士)(USZ – チューリヒ大学病院)

 
触知可能な腫瘤(BI-RADS 2)画像
gray ber

焦点事例:機能的画像診断

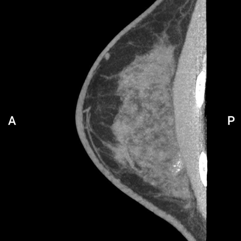
多発性乳がん

患者背景

  • 70~79歳の女性で、右乳房に触知可能な腫瘤を認める。
  • 過去のマンモグラフィでは単一の腫瘤のみが描出されていた。
  • 超音波検査では、病変は円形かつ境界明瞭で、嚢胞性と固形成分を伴っていた。さらに、滑らかで不規則な辺縁を有する複数の低エコー性病変が検出された。

多発性乳がんの疑いを確認するため、乳腺CT検査を実施した。

画像詳細

  • 造影前:円形の腫瘤性病変で、中心部に低吸収(壊死/液体)領域を認める。画像所見は複数の病変を疑わせる。
  • 造影後:触知可能な腫瘤は造影剤を不均一に増強します。乳房の複数の象限に、不規則な縁と滑らかな縁を有する複数の造影増強腫瘤が明示されています。

評価:BI-RADS 5

画像提供:エヴリン・ヴェンケル医学博士(エルランゲン大学病院)

 
多発性乳がん画像
臨床症例画像01
臨床症例画像02
臨床症例画像03
臨床症例画像04
gray ber

リアル3D乳房画像診断(デモ)

nu:view 乳房CT(静脈内造影剤使用)の3D画像化機能のデモと検査手順。

動画提供:Dr. med. カールステン・リッダー(MVZ プロフェッサー・ドクター・ウレンブロック・ウント・パートナー)

 
gray ber

Contact

AB-CT Japan株式会社

〒 135-0061
東京都江東区豊洲6丁目2番31-2313号
電話: +81 090-9690-2020
Mail: info@ab-ct.co.jp